

Treatments
Quick links to dental treatments
Treatments > Cosmetic options > Bonding
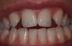
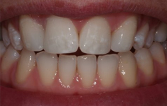
A tooth-coloured material, called composite can be used to bond, fill or cosmetically enhance teeth. Bonding is often a viable option for repairing chipped, cracked or disfigured front teeth. Bonding may be a good way to change the size, shape and position of teeth. It is a lot less expensive and faster than orthodontic treatment, which can take years, and in many cases it is really effective.

Before

After
Cosmetic options - Contouring
Contouring, or shaping the teeth, is a quick procedure that can completely alter the shape and personality of your smile. You may be a good candidate for contouring if you have healthy teeth that are uneven in appearance. Small areas of your teeth can be sanded and shaped to resolve imperfections. Contouring can be combined with bonding or veneers to achieve a lovely even smile.





