

New technology
Dental treatments
Treatments > New Technology > Cerec 3D
All around us, technology is changing our everyday lives. Many people, however are not aware that technology is also impacting on dentistry in a new and exciting way. One breakthrough instrument, called CEREC 3D, is an accurate single visit inlay, onlay, partial and full crown tooth restoration system.

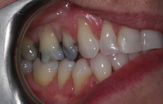
Before

After
What is CEREC 3D?
Cerec 3D is an acronym for Chairside Economical Restoration of Esthetic Ceramics. Translated, this means that we can economically restore damaged teeth in a single appointment using a high quality ceramic material that matches the natural colour of your teeth.
How does CEREC work?
CEREC 3-D uses CAD/CAM (Computer Aided Design/computer Aided Manufacture) technology incorporating a camera, computer and milling machine in one instrument. Once the tooth is prepared, the dentist uses a special camera to take an accurate picture of the tooth. This optical impression is transferred to the computer screen where the dentist uses CAD technology to design the restoration. The CAM takes over and automatically creates the restoration while the patient waits. The dentist then bonds the new restoration to the surface of the tooth. The whole process takes just over one hour.
What does this innovation mean for the patient?
A CEREC restoration means no more silver fillings discolouring your smile. Dentists no longer need to make temporary crowns, take impressions and send them to the lab. Because of this, a sometime uncomfortable period of time on a temporary crown and the traditional second visit where a local anaesthetic is required, is eliminated.
A CEREC tooth restoration is not just more convenient, it is also healthier. Many years ago, dentists had few options to repair decayed and damaged teeth other than amalgam, gold, and other metals. With CEREC, we use strong, tooth coloured ceramic materials to restore your teeth to their natural strength, beauty, and function.
These materials closely match the composition of natural tooth structure. This means when you eat hot food and then drink something cold, the restoration and tooth expand and contract at almost equal rates. So, your tooth does not crack. Also, the materials are chemically bonded to your tooth, so your dentist can save as much healthy tooth tissue as possible while providing you with a dental restoration that strengthens your tooth.
What advantages do CEREC 3-D offer?
- Single Appointment Dental Care. The dentist fabricates and fits the restoration in a single session, usually in just over one hour.
- No need for the dentist to take an impression and send it to a lab.
- The restoration is natural looking, as it is made out of tooth-coloured ceramic material.
- Ceramic material is biocompatible, high-grade, anti-abrasive and plaque-resistant.
- Metal-free — no silver-coloured fillings.
- Allows dentist to save more of the healthy tooth.
- Extremely precise
CEREC 3D has over a decade of clinical research and documentation to support the technology. The restorations have been proven precise, safe and effective.





